美日牙醫診所
  • 關於美日
    • 台北美日
    • 新竹美日
    • 特約廠商
  • 隱適美醫師介紹
  • 醫療團隊
  • 齒顎矯正專科
    • 隱適美矯正
    • 齒顎矯正
    • MRC肌功能矯正器 - 兒童早期生長導引
    • 戽斗矯正 - 兒童早期生長導引
    • 小下巴矯正 - 兒童早期生長導引
    • 牙弓窄矯正 - 兒童早期生長導引
    • 正顎手術
  • 牙科專科
    • 兒童牙科
    • 牙周病科
    • 人工植牙
    • 牙齒美白
    • 根管治療
    • 口腔外科
  • 案例分享
    • 隱適美矯正案例
    • 傳統齒顎矯正案例
    • MRC肌功能矯正案例
    • 戽斗矯正案例
    • 小下巴矯正案例
    • 牙弓窄矯正案例
    • 植牙案例
    • 牙周病案例
  • 最新消息
    • 羅教授活動
    • 患者見證
    • 媒體報導
  • 門診時間
  • 聯絡美日
  • 關於美日
    • 台北美日
    • 新竹美日
    • 特約廠商
  • 隱適美醫師介紹
  • 醫療團隊
  • 齒顎矯正專科
    • 隱適美矯正
    • 齒顎矯正
    • MRC肌功能矯正器 - 兒童早期生長導引
    • 戽斗矯正 - 兒童早期生長導引
    • 小下巴矯正 - 兒童早期生長導引
    • 牙弓窄矯正 - 兒童早期生長導引
    • 正顎手術
  • 牙科專科
    • 兒童牙科
    • 牙周病科
    • 人工植牙
    • 牙齒美白
    • 根管治療
    • 口腔外科
  • 案例分享
    • 隱適美矯正案例
    • 傳統齒顎矯正案例
    • MRC肌功能矯正案例
    • 戽斗矯正案例
    • 小下巴矯正案例
    • 牙弓窄矯正案例
    • 植牙案例
    • 牙周病案例
  • 最新消息
    • 羅教授活動
    • 患者見證
    • 媒體報導
  • 門診時間
  • 聯絡美日
美日牙醫診所

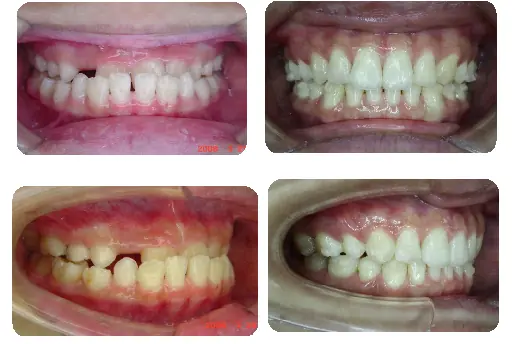
戽斗矯正案例-3

首頁 / 案例分享 / 戽斗矯正案例 / 戽斗矯正案例-3

戽斗矯正案例-3

戽斗矯正案例-3

戽斗矯正案例-3

戽斗矯正案例-3

上一則
下一則
分享到
美日牙醫診所

台北 美日牙醫診所

  • 台北市羅斯福路三段312號5-6樓
  • 02-2368-5879
  • 0902-455465
  • 捷運公館站4號出口,步行約2分鐘
  • 門診皆採約診制
  • LINE ID:ajdentist
諮詢預約

新竹 美日牙醫診所

  • 新竹市東門街25號
  • 03-523-2502
  • 新竹火車站,步行約5分鐘
  • 早診 9:00-12:00、午診 14:00-18:00、晚診 18:30-21:00
  • 週六晚診、週日、國定假日休診
諮詢預約
  • Designed by GTUT
  • 網站地圖
  • 管理 Cookies
  • 本站最佳瀏覽環境請使用 Google Chrome、Firefox 或 Edge 以上版本
  • 本網站禁止任何網際網路服務業者擷取或轉載內容