矯正案例

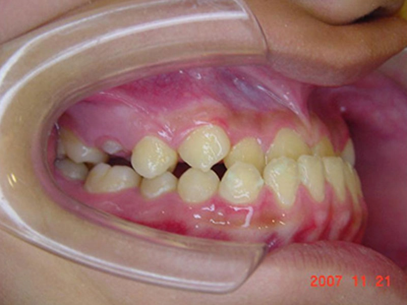
范小妹 (11 歲 5 個月 ) 中臉部發育不足和前牙錯咬的戽斗
戽斗矯正案例-4
戽斗矯正案例-4

矯正前 (11 歲 5 個月)

戽斗矯正案例-4
戽斗矯正案例-4

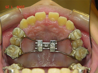
使用 RME 上顎快速擴大器 ,配合頭帽 蒸氣鼻子呼吸訓練療法

戽斗矯正案例-4
戽斗矯正案例-4

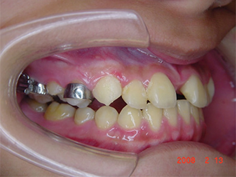
矯正 21 天後 上顎骨及鼻樑向前突出 戽斗改善
戽斗矯正案例-4

戽斗矯正案例-4