門診表
| 時間 / 星期 | 星期一 | 星期二 | 星期三 | 星期四 | 星期五 | 星期六 |
|---|---|---|---|---|---|---|
| 09:00-12:30 | ||||||
| 14:00-18:00 | 任爾崇 (台北) | 陳文和 (台北) | ||||
| 18:30-21:00 |
表格資訊請左右滑動
美日牙醫 - 口腔外科醫師介紹

任爾崇 醫師
口腔外科專科醫師
- 長庚紀念醫院前口腔外科主任、主治醫師
- 中華民國口腔顎面外科專科醫師
- 台北醫學院前口腔顎面外科學兼任講師
- 中華民國口腔顎面外科學會前常務監事、理事
- 美國奧瑞岡健康科學大學研究員
- 高雄醫學院牙醫學系牙醫學士
- 東吳大學法律研究所法學碩士
- 教育部定講師
- 中華民國仲裁協會仲裁人

陳文和 醫師
口腔外科專科醫師(台北)
- 高雄醫學大學牙醫系畢業
- 庚醫院林口醫學中心口腔顎面外科主任、主治醫師
- 美國奧勒岡州奧勒岡健康科學大學口腔顎面外科研究員
- 中華民國口腔顎面外科專科醫師
- 桃園市牙醫公會理事、監事
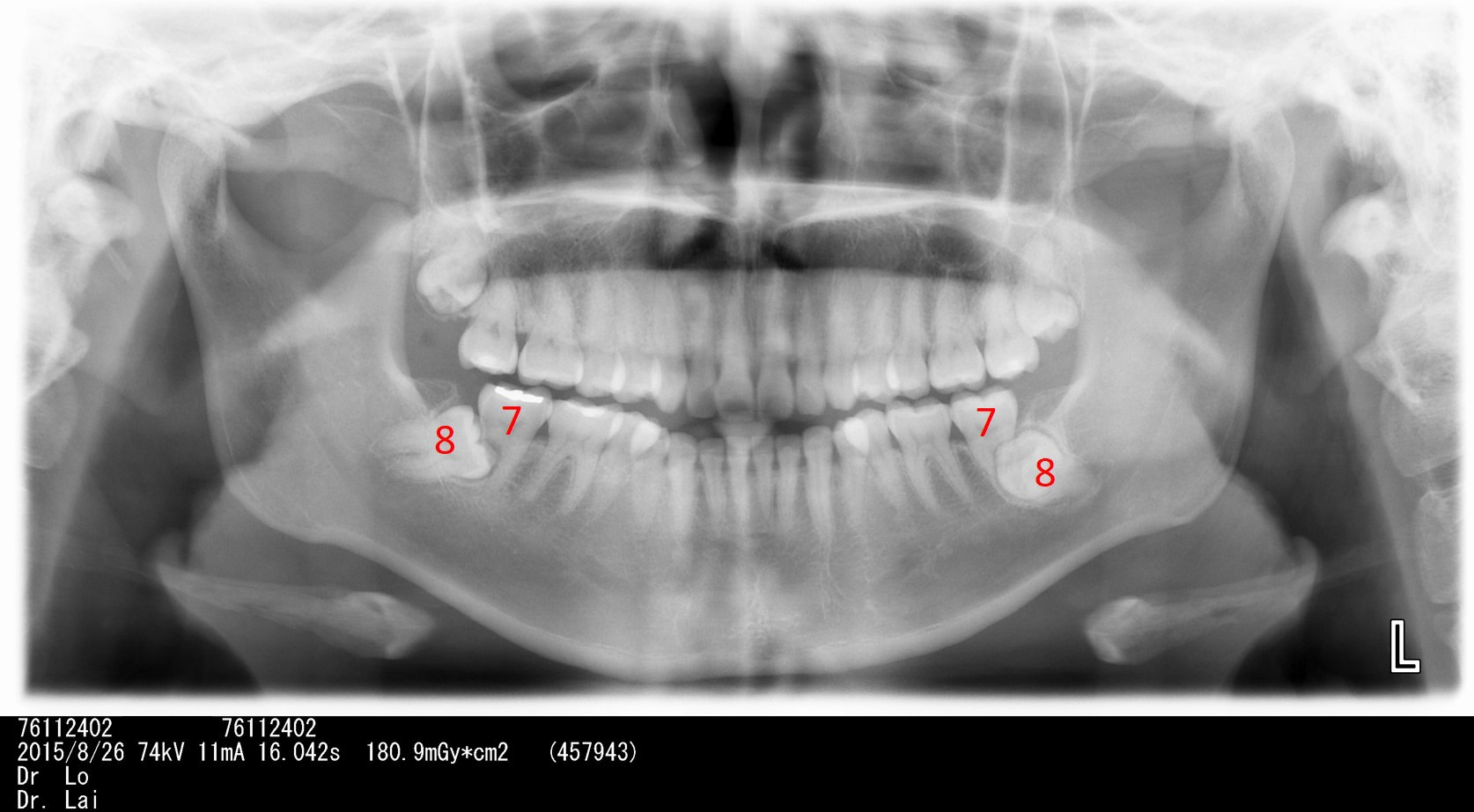
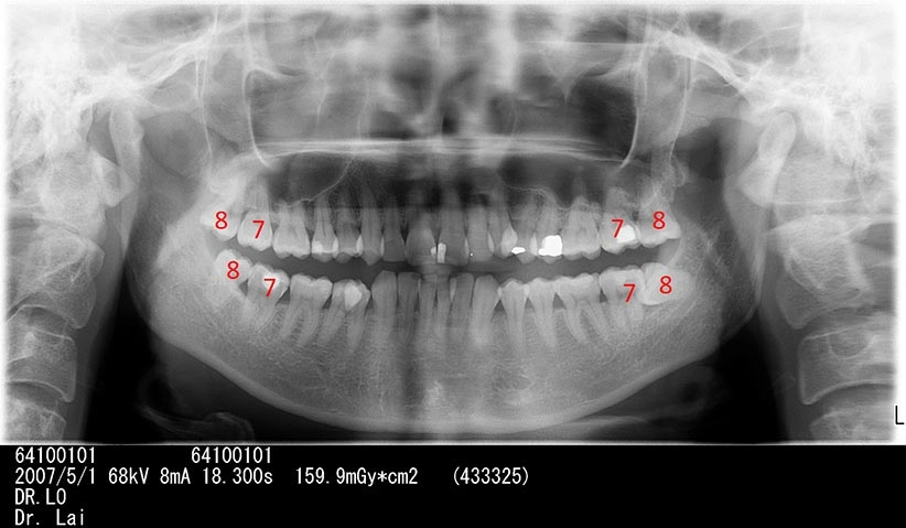
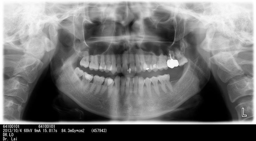
不拔智齒後果
左右下牙兩顆智齒不聽醫師建議拔除,5年後,智齒前面大牙也因智齒而蛀牙,最後拔除4顆牙



左下智齒不聽醫師建議拔除,5年後,智齒前面大牙也因智齒而蛀牙,最後拔除2顆大牙







